How Rheumatoid Arthritis Is Treated: Complete Management Plan Explained

Learn about rheumatoid arthritis (RA) treatment and management, including medications, therapy, diet, and lifestyle tips to reduce joint pain. What Is Rheumatoid Arthritis?…

Learn about rheumatoid arthritis (RA) treatment and management, including medications, therapy, diet, and lifestyle tips to reduce joint pain. What Is Rheumatoid Arthritis?…

Explore everything about rheumatoid arthritis (RA), including symptoms, causes, risk factors, and early warning signs. Learn how genetics, hormones, lifestyle, and environmental triggers influence…

Osteoarthritis Treatment & Management: Pain Relief, Exercises, and Lifestyle Tips Discover effective osteoarthritis treatments and management strategies. Learn about medications, physical therapy, exercise, weight…

Osteoarthritis: Symptoms, Causes, Risk Factors & Prevention Guide Learn about osteoarthritis, its common symptoms, causes, and risk factors. Discover tips for prevention, early detection,…

Hypertension Management: Tips for Controlling High Blood Pressure Description: Discover effective hypertension management strategies—lifestyle tips, diet, exercise, and treatment options to control high blood…

Hypertension: Causes, Symptoms & Control Tips Learn about hypertension (high blood pressure)—its causes, warning signs, risks, and effective ways to manage and control it…

Diabetes Management: Simple Lifestyle Changes That Work Why diabetes management is important? Diabetes is a condition in which person have very high sugar…

Learn about different types of anaemia, their Reasons. A detailed guide for students, researchers What Is Anaemia Anaemia is a condition in which a…

Learn about anaemia, its common causes, symptoms, and the best treatment approaches to restore your energy and health. What is Anaemia Anaemia is…

What is Colorectal Cancer? Causes, Signs, Stages & Treatment Options Learn all about colorectal cancer — its early signs, risk factors, stages, and modern…

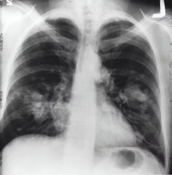
What is Lung Cancer? Causes, Symptoms, Diagnosis & Treatment Learn everything about lung cancer — types, early signs, causes, and treatments. Stay informed and…

What Is Cancer? Causes, Symptoms, Prevention & Treatment in 2025 Learn what cancer is, its causes, early symptoms, types, and latest treatments. Explore global…